La page des 2de
Des outils et documents pour vous aider dans votre travail ...
Lien vers la banque de données en ligne THE HUMAN PROTEIN ATLAS
En haut de la page, entrer le nom du gène (ex: gene HBA1) puis cliquer sur Search. Cliquer ensuite sur "Tissue" pour le gène considéré. Cliquer ensuite sur "RNA cell type" et observer sur le premier graphique dans quel type de cellules le gène s'exprime (plus le trait de couleur est important, plus le gène s'exprime fortement).
Original link
Lien vers le logiciel Geniegen 2
Une application pour aligner des séquences d'ADN
Original link
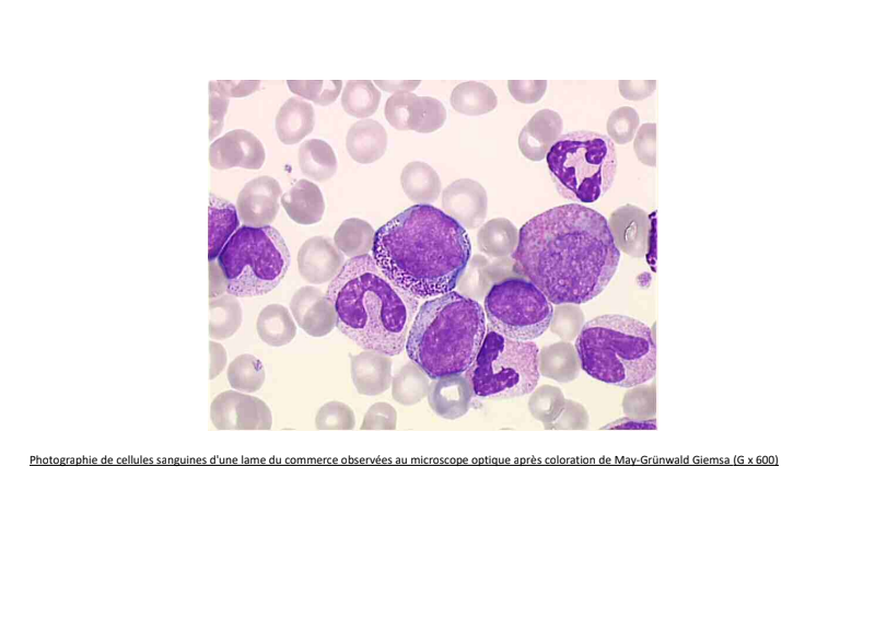
Chap. 1 - Activité 4 - Document annexe (photographies de cellules sanguines)
Chap. 1 - Activité 1 - Documents ressources
Chap. 1 - Activité 1 - Photographie d'une paramécie